Выполнена в клинике Стоматология Династия Джуниор 11 нояб. в 11:33, отредактировано 11 нояб. в 11:35
55;54;64;85;84;74;75 : К04.0 Пульпит (K04.0 Пульпит)
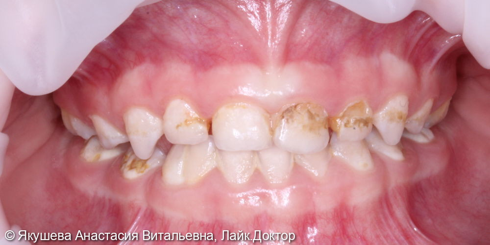
53;51 - 63;65;83;73 : К02.1 Кариес дентина (K02.1 Кариес дентина)
55;54;64;85;84;74;75 : в условиях общего обезболивания: очищение мягкого зубного налета, изоляция коффердам, проведено препарирование кариозной полости, раскрытие полости зуба, проведена пульпотомия, достигнут гемостаз,Показать полностью...

Выполнена в клинике Стоматология Династия Джуниор 30 нояб. в 16:38, отредактировано 30 нояб. в 16:39
55;53;65;74 : в условиях общего обезболивания очищение мягкого зубного налета, изоляция коффердам, проведено препарирование кариозной (ых) полости (ей), под контролем витального окрашивания «Кариес Маркер» удалены деминерализованные участки эмали и дентина, формирование кариозной полости антисептическая обработка раствором хлоргексидина 2%,Показать полностью...
Смотреть 4 фото процесса